Skip to main content

One step for fibrosis, one giant leap for scleroderma

November 16, 2020
Dr. Carol Feghali-Bostwick (left) and Xinh Xinh Nguyen (right) are co-authors of an article reporting novel roles for LOX in fibrosis

A team of MUSC researchers has found that the molecule lysyl oxidase (LOX) plays a number of important roles in promoting skin and organ fibrosis in scleroderma, a connective tissue disorder. The researchers have also shown that LOX can be useful in assessing how well an antifibrotic treatment works, suggesting that it may have potential as a biomarker of fibrosis progression or regression. The team was led by noted fibrosis researcher Carol Feghali-Bostwick, Ph.D., the SmartState and Kitty Trask Holt Endowed Chair for Scleroderma and professor in the Department of Medicine at MUSC, and graduate student Xinh Xinh Nguyen. They report their findings in an article published online ahead of print in the American Journal of Physiology Lung Cellular and Molecular Physiology.


Scleroderma is a connective tissue disease that causes fibrosis, or thickening, of organs such as the lungs, kidneys and heart, along with the skin. In fibrosis, excess connective tissue progressively accumulates around the cells in organs, causing them to lose function and eventually fail. Historically, the only treatment available to these patients has been lung transplantation, which is very invasive and does not stop fibrosis from progressing in other organs. Recently, the Food and Drug Administration approved two new drugs for lung fibrosis, but their usefulness is limited in patients with scleroderma. 

“These drugs merely slow the progression of the disease,” said Feghali-Bostwick. “They don’t stop it. They don’t reverse it. New drug targets are urgently needed.” 

Their findings are important because previous research had only shown that LOX increases fibrosis by crosslinking connective tissue. The MUSC team demonstrated that LOX plays additional roles in the progression of fibrosis by stimulating excess production of connective tissue and increasing interleukin 6 (IL-6), an inflammatory molecule.  

In the study, Feghali-Bostwick and Nguyen assessed whether LOX might be such a target. They were able to show that LOX plays multiple roles, known as “moonlighting,” in the development and progression of fibrosis in scleroderma. They did so using a preclinical model of lung fibrosis, cells derived from lung and skin tissue samples of patients with scleroderma, and human lung and skin tissue cores. These cores more realistically mimic the physiologic conditions of living human tissue than just growing cells in a petri dish. 

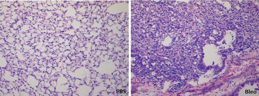
The research team showed that LOX expression increased 2.8-fold at 10 days following the initiation of lung fibrosis in the preclinical model. The research team also showed that LOX levels and activity were diminished in the lung fibrosis model, almost to baseline levels observed in the control, after administration of an antifibrotic peptide (E4) that is soon to enter a phase 1 clinical trial.

These findings suggest that measuring LOX activity in the blood could be a promising biomarker for monitoring treatment response in patients with scleroderma and other fibrotic diseases. 

“LOX has a direct role in fibrosis, and measuring circulating LOX levels is useful in monitoring the response to antifibrotic therapies,” said Nguyen, who is a TL1 translational research trainee.  The TL1 translational research training program, of which Feghali-Bostwick is the associate director, is funded by the South Carolina Clinical & Translational Research Institute.

 

Normal pulmonary tissue (left) and bleomycin-induced pulmonary fibrosis in a mouse model of fibrosis (right).

 

“It’s exciting that LOX is a biomarker that goes up when we induce lung fibrosis in the mice and goes down when we improve the fibrosis,” she said. “Having a good biomarker of fibrosis would be invaluable because it would allow us to monitor the response to therapy in patients.” 

The MUSC team is currently investigating how the E4 peptide reduces fibrosis, not just in the skin and lungs but in other organs as well. Fibrosis is the end-stage of many fibroproliferative diseases that result in organ damage. These include cirrhosis, macular degeneration and cardiovascular disease. If the E4 peptide proves effective at reducing fibrosis in organs beyond the lungs and the skin, it could have potential as an antifibrotic therapy in those patients as well. 

This research project was launched by Tetsuya Nishimoto, Ph.D., a postdoctoral fellow in the Feghali-Bostwick laboratory who, in 2016, passed away unexpectedly. Thanks to Nguyen’s efforts, the Feghali-Bostwick laboratory was able to see his project to the end.

Meet the Author

Lily Neff

Recent Research Articles stories