Skip to main content

Growth in her brain formed before birth, but it wasn't discovered till after a dangerous wreck

June 19, 2025
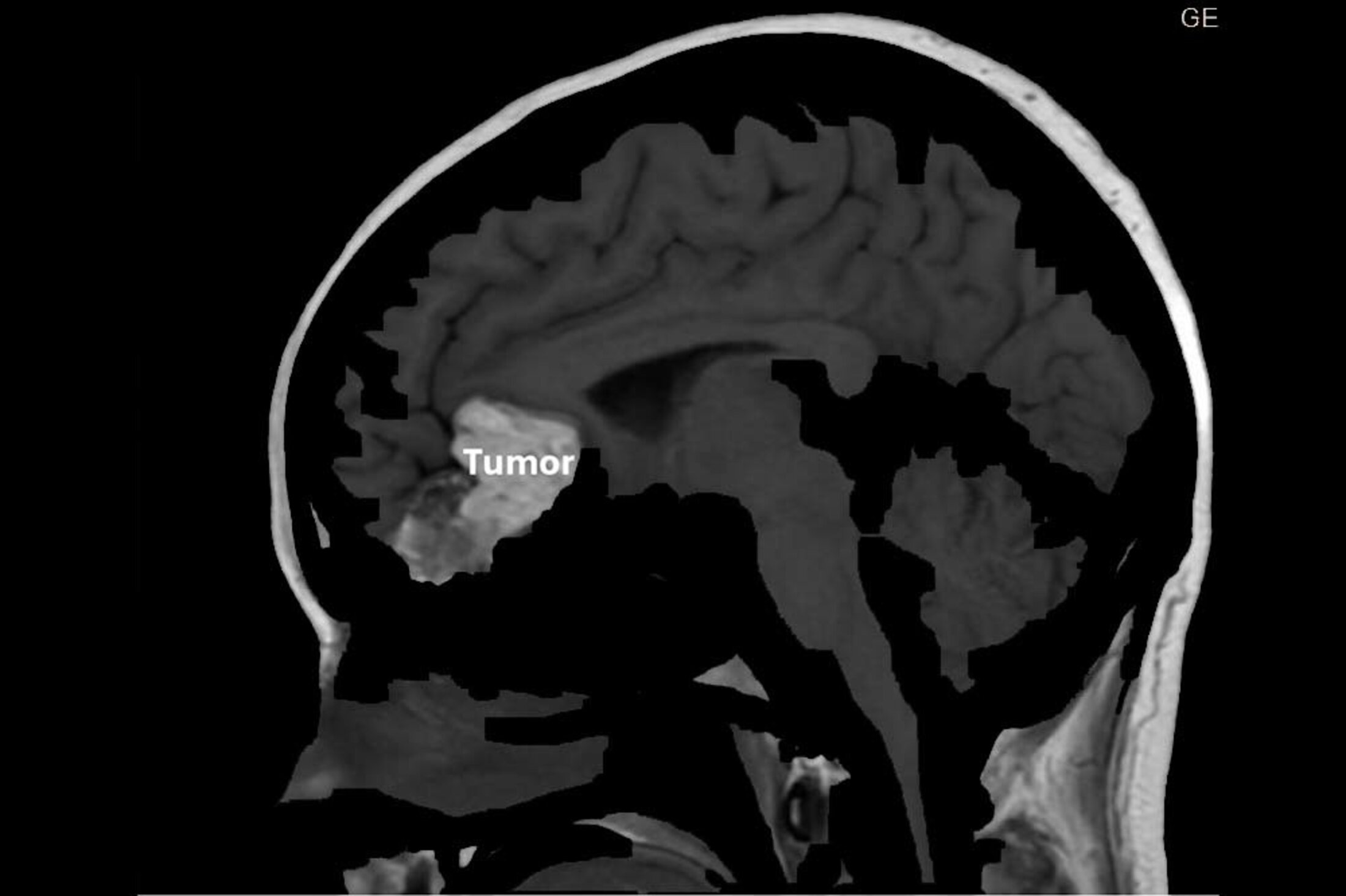
An image from neurosurgeon Dr. Jaime Martinez shows the cyst in Emily Smith's brain, a growth that formed while she was still in the womb.

Emily Smith has what she calls the world’s gnarliest mullet after having some of her hair shaved for an operation, but she’s fine with that. “It feels crazy to say that having brain surgery was a great experience, but,” she paused and laughed, “it absolutely was.”

You have to know what she’s been through to get why she said that. And she’s been through a lot. For years, she suffered from headaches, nausea and vomiting. And she felt like medical professionals didn’t take her seriously.

Emily Smith shows where her hair is regrowing after an incision in her scalp for brain surgery. Photo provided

“It's been quite the journey to even figure out what was causing all my problems,” the 31-year-old executive assistant said.

The cause finally became clear after a seizure caused her to crash her car in North Charleston, South Carolina, and she wound up in the hospital. A brain scan revealed she had a large dermoid cyst.

“It was about the size of an egg, like a chicken egg. And it was in my frontal lobe between the two hemispheres of my brain,” Smith said.

That cyst had been there her entire life, forming when she was in the womb – likely during the early weeks after conception. MUSC Health neurosurgeon Jaime Martinez, M.D., explained how the cyst came about. “Some of the elements, such as skin, hair follicles and sebaceous and sweat glands, get trapped inside the neural tube. That's where the brain develops.”

Smith described her understanding of it this way. “I tried to create a scalp before my brain and skull were done forming. So there was a little cluster of those cells that were not supposed to be there. And they grow; they multiply. And so it kept filling up the gaps and the little pockets of my brain. And it finally got big enough to cause a seizure.”

The cyst was not cancerous. But it did need to come out, Martinez said, because of its size and the fact that it was causing symptoms, including seizures and headaches. It’s not the kind of thing he normally sees. “It's rare. It is around 0.1% of the total brain tumors. And the location of hers is also rare.”

But Martinez said the neurosurgery team at MUSC Health University Medical Center in Charleston, which is the highest-scoring hospital for neurology and neurosurgery in the state, according to U.S. News & World Report, had the expertise, technology and equipment needed to safely remove the cyst from behind Smith’s forehead.

Smith said Martinez also had something else: a way of communicating difficult news with compassion. “He put me at ease in a way I didn't know was possible, considering what was on the docket. He assured me it would be something that he and the team could get out, and that I would live a normal life, and that I would have the most minimal scarring possible.”

Martinez said the cyst was in a complex and high-risk location. To remove the deep lesion under Smith’s forehead while striving to achieve good aesthetic results, Martínez planned for an incision behind the hairline and a reconstruction using Smith’s own tissues from the deepest layer of her scalp.

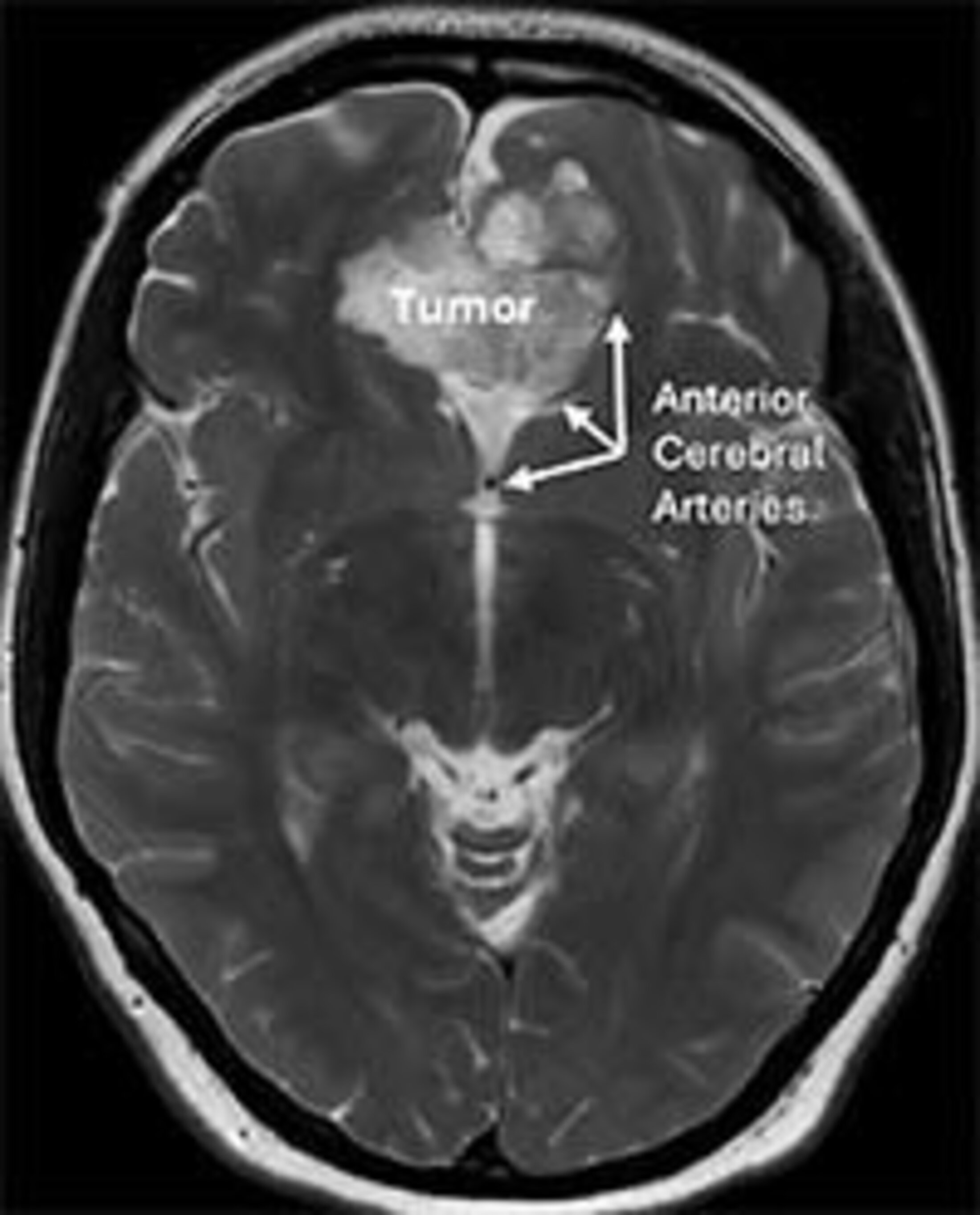
An overview of Emily Smith's dermoid cyst.
Emily Smith in the hospital for brain surgery. Photo provided

During the three-to-four-hour-long procedure, Martinez removed the dermoid cyst and some other smaller benign tumors called meningiomas.

“The way I did it was a craniotomy over the big vein on the brain and then dissecting in between the hemispheres to get down there. Sometimes, tumors get stuck to the blood vessels. Hers was a little stuck to the anterior cerebral arteries. Those arteries supply the area of the brain that helps you move your legs. So if I injured those arteries, then she would be paralyzed,” he said.

“But we were able to work under the microscope and peel it off the artery and remove it. The tricky thing is you always try to remove all of the cyst because if you leave some behind, it can grow back or its irritant contents can spill out and cause meningitis or seizures.”

Smith’s cyst has not grown back, and she had immediate relief from her former ailments. “I've not been nauseous, not had issues with headaches and migraines. I've been immensely better. It's wild, like a night and day difference,” she said.

She did have another seizure when she tried going off her preventive medication but hopes waiting a little longer will change that. “I guess I rushed it,” she said. “I was eager.”

While a cyst such as Smith’s is highly unusual, Martinez said for people who do have them, it’s important to see a specialist. “Listen to their bodies, know their symptoms, try to find someone who would listen to them and try to help them with their problems. Even if you have a benign brain tumor, or a cyst like this of a certain size and has symptoms to it, you might be a candidate for surgery, and you might be better with surgery.”

Emily Smith at an appointment June 19 to get an MRI. Photo by Julie Taylor

Smith’s glad she was, even though she found out the hard way – through a car crash – that she needed it. She’s also glad Martinez was able to hide her incision under her hair. “My scar’s completely covered. I just wear little headbands that push the hair back. And it just looks like I have my hair pushed back rather than a mullet.”

Meet the Author

Helen Adams

Recent Impact stories