Skip to main content

Middle-of-night terror leads to innovative brain treatment

July 31, 2017
Tom Corbin is back at work as a chemical technician at MUSC after a near-death experience and a new type of brain surgery. Photo by Sarah Pack

It was 1 in the morning, and Tom Corbin was relaxing after a 12-hour work shift. He’d taken a nap and watched the TV show “South Park.” The Mount Pleasant man didn’t know it, but he was about to begin a grueling two-hour ordeal that would lead to him becoming one of the first patients to have a new type of surgery at MUSC Health that involves a technique called Brain Path.

“I’m just too ornery to die,” Corbin later said.

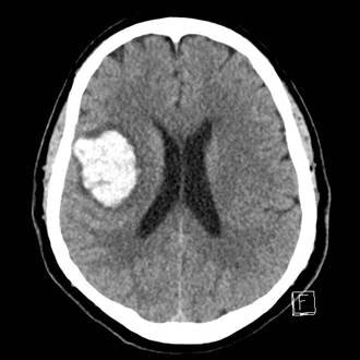
Corbin was in the back of his house when he realized something was terribly wrong. He would later learn that an artery in his brain had burst, a condition called intracerebral hemorrhage, which is fatal in about half of all cases. Corbin didn’t understand what was happening, but he was determined to get help.

“I had to fight my way to the living room where my phone was plugged in. I knocked two bookcases down on top of me. I cleared all the pictures off the walls. I fought my way all the way to the living room.”

 

Corbin's brain bleed was big and dangerous. He says his doctors were amazed he survived it.

 

Between 1 and 3 a.m., Corbin, partly paralyzed by the brain bleed, clawed his way toward the phone. His head was swollen from all of the blood that leaked, but he kept his mind focused. “I kept saying, ‘Fight, Tom, fight.’”

He did, and finally, he spotted something important. “I saw a coat hanger on the floor, so I grabbed it and was able to get the phone to me.”

He called his sister at 3:15 a.m. “I hit every key I could trying to get her. She couldn’t understand me, but knew something was wrong. She lives a half- mile from me, so she jumped in her car and rushed over with the fire department right behind her. They broke the window and got the key and were able to get me out.”

New type of brain surgery

Corbin was rushed to MUSC Health, where doctors saw that he’d suffered the most debilitating type of stroke. They had to try to remove the blood expanding deep in his brain. Traditional surgery would carry the risk of damaging more brain tissue, because the neurosurgeon would have to make a large window in the skull and dissect healthy tissue to reach the blood that had pooled in the head.

But there was a new option: minimally invasive surgery that requires only a tiny hole in the skull, just large enough to fit a 15-millimeter surgical tool called an obturator that gently parts brain tissue and makes way for the placement of the NICO Brain Path sheath. The obturator is then removed and the sheath acts as a corridor through which the hematoma, or pooled blood, can be removed.

Brain Path is the third minimally invasive technique to remove blood clots in the brain offered by the neurosurgery team. MUSC Health served as a site for the trials of two earlier techniques. The first involved a combination of surgery and breaking down the blood clot using a protein called tissue plasminogen activator. The second used the Apollo suction device to remove the pooled blood with the help of an endoscope that let the surgeon see the device working.

Neurosurgeon Alejandro Spiotta likes having a growing number of ways to take care of patients dealing with what can be a devastating disease. “It is very rare for a center to have experience with all three of these techniques, and these are the only three that are available. We provide patients a lot of options, and we are committed to staying at the cutting edge of treatment options for all types of strokes,” Spiotta said.

Corbin knew he was in a life-or-death situation. “They only gave me 10 percent chance of surviving the operation,” he said.

The next day, he was up and walking. “They said, ‘You just got out of brain surgery.’ I said, ‘Yeah, but I’m a walker.’”

That was March 9. Today, Corbin is back at work as a chemical technician at MUSC, a job that involves miles of walking and climbing ladders to get to the top of buildings. “I don’t know how to slow down,” he said. “If I slow down, they’ll bury me.”

He does feel the lingering effects of his brain bleed. His voice sounds different, and he has trouble writing. But he’s grateful. “The doctors really did great work,” Corbin said.

“My mom and dad, if they were alive, they’d say, ‘His skull’s too thick for this to kill him.’”

 
Meet the Author

Helen Adams

Recent Neuroscience stories