Skip to main content

New app improves care for people with sickle cell disease

February 10, 2023

With a smartphone application, patients with sickle cell disease can better care for themselves or loved ones

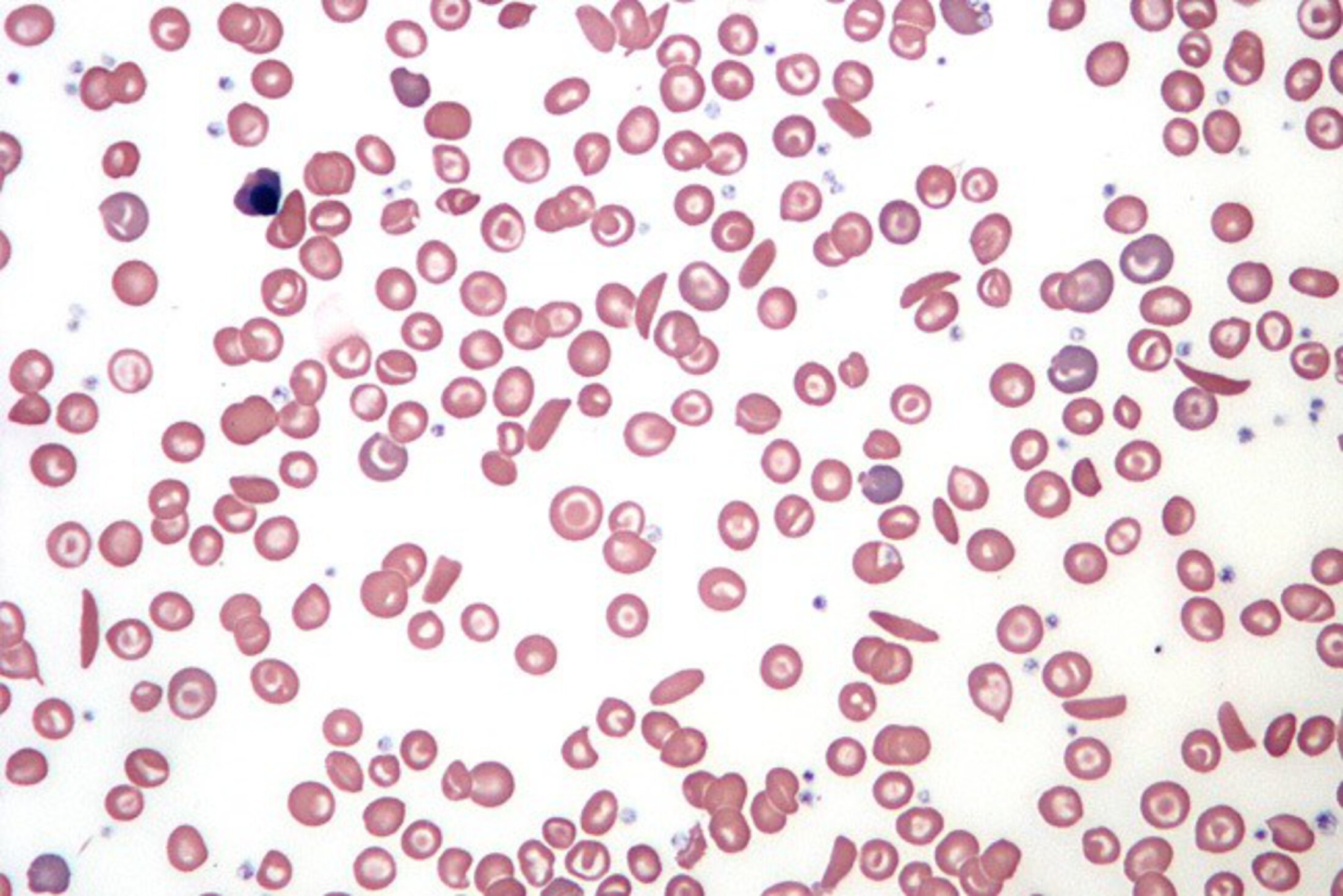
Hard, sticky, short-lived and misshaped red blood cells invade the blood stream of people with sickle cell disease. These crescent-shaped, or sickle, red blood cells cause abnormal hemoglobin as part of a genetic disease primarily affecting those whose ancestors came from sub-Saharan Africa. Roughly 100,000 Americans are currently afflicted with this painful and debilitating disease according to the Centers for Disease Control and Prevention.

Individuals with sickle cell disease, particularly those who suffer from sickle cell anemia, endure pain and vulnerability to infection. With their bow shapes, sickle cells clog blood flow and die early, leaving those with this kind of anemia constantly short of red blood cells and the oxygen they carry. To prevent a sickle cell crisis, afflicted individuals must avoid dehydration, overheating, exposure to high altitudes and taxing athletic endeavors.

There are a handful of pharmaceutical therapies that help manage sickle cell disease, but they expose patients to an array of side effects including lowered white blood cell and platelet count which increases the risk of infection. The only cure right now is a bone marrow or stem cell transplant, but gene replacement therapy is showing encouraging results in early clinical trials.

Without a cure, sickle cell patients have a life expectancy 20 years less than the general population. Those with sickle cell anemia live, on average, about 30 years less. And even these numbers are a vast improvement over just 50 years ago, when most individuals with sickle cell didn’t survive to adulthood.

With increased life expectancy has come another challenge: the transition from childhood to adulthood with sickle cell disease is fraught with difficulties even beyond the norm. First, because sickle cell disease was primarily a childhood disease in the past, most services are aimed at children. Those who age out of pediatric services encounter a serious dearth of specialists, case managers, insurance coverage and access to health care, and they must suddenly take the lead in tracking and coordinating their own care.

Second is the stigma that comes with sickle cell disease, which generally presents as excruciating pain. Because suffering individuals require ongoing pain medication, health care professionals may view them as med-shopping and deny them pain relief, particularly now in the shadow of the opioid crisis. This breakdown in communication may be exacerbated when patients are suffering corollary issues like depression or cognitive impairment.

Advocates for individuals with sickle cell disease say race also presents a challenge. Research shows Black Americans already face more barriers to care and have worse outcomes than the rest of the population. And patients who have had negative experiences in the ED or with their assigned health care practitioners may be reluctant to seek care and struggle to manage their condition. This can be life-threatening in the face of a disease that requires constant attention.

When Shannon Phillips, RN, Ph.D., an associate professor in the College of Nursing at MUSC, was a registered nurse in the pediatric ICU she cared for children with a host of complex chronic diseases, including sickle cell disease. While working on her dissertation on these conditions, she was perplexed by the disparity in grant money for research and disease-modifying therapies for sickle cell disease in particular, so she began focusing her research on the under-resourced battle against it.

Today, Phillips is producing technology to enhance the ability of children and adolescents with sickle cell disease to self-manage their health. Her app, currently dubbed Voice Crisis Alert (v.2), helps children up to age 17 follow treatment regimens, attend clinic appointments and generally improve the management of their care.

Preliminary testing has demonstrated that the app is useful for adolescents moving from parent-led management to self-management. Patients and their parents liked the app and found that it aided their efforts to stay current with their regimens and keep pain at bay.

The kid-friendly interface allows users to customize their avatar with hair and clothes and to earn points for achieving benchmarks that will allow them to upgrade their virtual selves to having a virtual dog, for example.

The “I’m in Pain” button allows users to indicate where on their body they hurt and to indicate the severity according to validated pain-rating scales. The app-based pain history helps them delve into behaviors that might be indicators of emerging pain.

In post-testing during feasibility studies, parents told Phillips and her team that they found their children were hiding their pain prior to using the app, but were less reluctant to share with the app.

“The idea there is to help people start to see if there are patterns or triggers to their pain,” Phillips said.

The app includes the user’s sickle-cell related health history, including their type of sickle cell disease, their white blood cell count, blood type, medications they take and the dose and much more. The app also reminds them when to take their meds.

The app not only helps patients and their parents understand their disease, it aids communication with teachers, school nurses and others who need to know. One user employed the app to help her teacher understand why it was so important that she stay hydrated.

Phillips says the reminder can eliminate doubt about whether a patient is abusing pain relief. “If you’re in a pain crisis and don’t remember when you took your last Percocet, you can just look at the app and find out,” she said.

In addition, the app supplies organized, authoritative information about sickle cell disease care, which Philips and her team discovered was desperately needed.

“We heard from a lot of people that they just Googled the subject and looked at reviews,” Phillips said.

The app also links to the MyChart health portal, which provides patients a plethora of information and facilitates communication with caregivers.

Voice Crisis (v.2) has been in development for a couple of years and has demonstrated measurable outcomes reducing fatigue, anxiety and pain as well as improving health-related quality of life for children over the age of eight and developing self-management skills that will aid in the transition to adulthood. 

Phillips knows the app doesn’t solve many of the issues facing children and teens with sickle cell disease but is optimistic about the future. “It’s very promising, which is why we’re working hard to get to the next stage of [large-scale] testing.”

Meet the Author

Barry Waldman

Recent Progressnotes stories