Skip to main content

Scoliosis correction surgery helps patients walk tall

July 21, 2022

The biped spine is a marvel of cantilevered engineering — perfectly balanced curves support the heavy head but flex, twist and bend enough for functional movement. That is, when it’s in ideal form.

But we live in an imperfect world where the spine is subjected to genetic influences, the aging process and individual postural patterns. So problems can arise, including lateral curves, or scoliosis, as well as twisting and rotation, and in extreme cases these issues can cause pain, physical distortion and other problems like nerve compression.

For these patients, Charles Reitman, M.D., an orthopaedic surgeon at MUSC Health, performs corrective surgery to draw crooked spines back toward a more balanced and functional plane. But he will be the first to maintain that surgery be reserved for cases with clear needs and goals.

“In general, even though the last word in my title is surgeon, the primary goal is not to do surgery when somebody walks into the office,” said Reitman. “But when there are clear benefits, we use surgery to improve alignment, balance the spine and relieve nerve compression to help patients maintain spinal function over their lifetime.”

While the term “scoliosis” conjures up images of school nurses checking on the spines of all the students in a classroom, the disorder also occurs in adults. In the pediatric population, 3 to 4% of children will have some amount of abnormal curvature, but it is often mild enough that it requires no intervention. Children with moderate scoliosis may need to wear a spinal brace to prevent the spine from bending further while they are still growing, and in more severe cases surgical correction may be needed to avoid pain and physical deformity.

The adult disorder is different and is more commonly related to degenerative and aging processes or may be superimposed on a prior deformity that occurred in childhood. Adults may suffer from more pain that is tangentially related to the distortion, usually because of spinal stenosis, or narrowing, that can cause nerve compression. There can also be arthritis-related pain.

But whether the patient is a child or an adult, physicians considering surgery look at the degree of curvature and how the curve is balanced. A 50-degree curve is often used as the threshold for surgery, but if it is balanced out with a compensatory curve it may be well tolerated with no resulting impairment. In contrast, a 40-degree curve that shifts the body to one side or is accompanied by rotation may cause pain or affect function or physical appearance. Additionally, curves that shift the spine forward can be debilitating and are particularly prevalent in adults.

Once the surgeon and patient agree that surgical correction is needed, spinal fusion is the standard procedure, but the number of fused vertebrae will vary depending on the individual. The goal is to preserve as much spinal function as possible and to keep the spine balanced.

“Modern implants allow surgeons to fuse fewer levels,” said Reitman. “The more levels you can spare below the curve, the better off the patient will be and the less likely they are to develop adjacent segment problems.”

Problems with adjacent regions of the spine can arise because fusing vertebrae places stress on other nearby areas. Fusion in the lower regions towards the tailbone or sacrum can affect the mechanics of movement, but if the fusion can be limited to the ribcage area or thoracic spine there will be less impact on overall function.

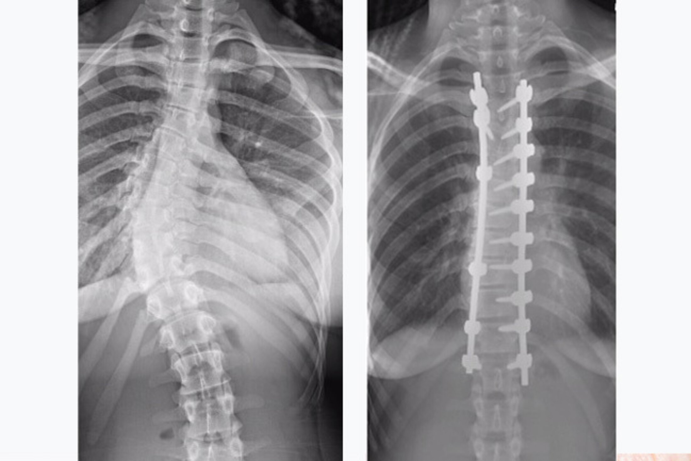
Reitman recently performed a scoliosis deformity correction in a 19-year-old woman who had begun to suffer from pain as a result of her curvature. Her main area of scoliosis was in the thoracic spine, and while the lower curve also had abnormal curvature that area was still mobile and functional.

“We addressed the stiff thoracic curve, and the mobile lower spine should accommodate back to that,” Reitman explained. “Sparing the lower lumbar spine from fusion will help her functionally over the long term.”

 
Charles Reitman, M.D., and physician assistant Gabrielle Shebiro use advanced navigation technology to insert pedicle screws during scoliosis correction surgery.

The surgery was performed by fusing the lower two thirds of the thoracic vertebrae plus the first lumbar vertebra. Reitman used one side of the spine as the corrective side, inserting screws at each vertebral level to allow him maximal control over the correction. He also inserted implants on the opposite side of the spine, but at a lower density and for support purposes only.

While Reitman has performed spinal surgery for decades, he has seen the field evolve with the availability of advanced technology. He now uses a navigation system to assist with screw placement. He first performs intraoperative imaging to build a three-dimensional map of the spine, and the navigation system then uses that map to assist with confirming the trajectory of each screw.

This is especially helpful when the bony channel to the vertebra is very small, which is not unusual. Screws are the preferred implants for optimal correction, and Reitman can capitalize on the navigation system’s precision to insert them safely and accurately even in cases where openings are smaller than the actual screw size.

MUSC Health has a robotic system for spinal surgeries as well, but Reitman prefers the hands-on approach for scoliosis correction procedures. Even so, he enjoys the extra efficiency that navigation provides.

“I think the technology is great — it improves safety and confidence, and it can improve speed and efficiency,” said Reitman. “But what I've learned by my experiences with surgery and training residents is that you really have to be comfortable with open surgery first in order to be a good surgeon with navigation.”

After implanting the screws into his patient’s spine and placing rods to connect them, Reitman pulled the rods to the correct position. For this to work, he had to first mobilize the spine by releasing key stabilizing ligaments as well as performing facetectomies at all levels, removing portions of the joint by using an osteotome or an ultrasonic device. These manipulations loosened the tissue and allowed Reitman to draw the spine to fit the rod.

“So essentially you tear down the spine and then rebuild it again,” Reitman said. “Children tend to be more flexible than adults, so once you mobilize the spine, especially in younger patients, you can get it to move to the rod and frequently get profound correction.”

Finally, Reitman prepared the bone for fusion by decorticating it — basically injuring it to spur new growth. This process is essential to ensure that the bony tissue will fuse together and hold up over a lifetime.

Reitman’s experience at MUSC Health has taught him the importance of an academic medical center for complex deformity corrections. While the case described above was fairly straightforward, in some pediatric cases the situation can involve complex congenital or neuromuscular problems. And in adults there can be additional layers like prior surgery, prior decompressions or the need for osteotomies to reshape the spine from multiple sides.

“In these cases, you need a high level of experience as well as a great support system,” said Reitman. “We rely on high-caliber anesthesia and ICU teams that separate us from other centers, and the more complex the deformity the more MUSC stands out as a center of excellence.”

Meet the Author

Shawn Oberrath

Recent Progressnotes stories