Skip to main content

Intestinal Ultrasound: A New Approach to Monitoring Inflammatory Bowel Disease

February 15, 2024

Carmine Suppa, DO, is Pioneering the IUS Pilot at MUSC

When Dr. Carmine Suppa, the Director of Pediatric Inflammatory Bowel Disease at MUSC Children's Health, meets with a pediatric gastroenterology patient, he has a new modality to offer that brings a smile to everyone's face.

Dr. Suppa is one of a small group of pediatric gastroenterologists in the country who is trained to use Intestinal Ultrasound (IUS) for patients in need of an assessment or monitoring of inflammatory bowel disease and other gastroenterological disorders, such as Crohn's disease and ulcerative colitis.

"It's currently the best non-invasive and cost-effective way to get live imaging of the lower GI tract that accurately detects disease activity," says Dr. Suppa. "Patients are happier because it's quick, painless, easy, and an inclusive experience while it gives physicians real-time feedback on treatment efficacy."

What is Intestinal Ultrasound (IUS)?

Ultrasound is commonly used in many healthcare applications to provide visibility to tissues, organs, blood vessels, and more to assist physicians in assessing, monitoring, and diagnosing. What is relatively new in the United States, is the use of ultrasound for Inflammatory Bowel Disease (IBD).

IUS is essentially an abdominal ultrasound that provides highly accurate, high-resolution, imaging of the intestine and colon. It does not require any of the more intensive bowel preparation needed for invasive procedures like colonoscopies, and it does not have any side effects like those that might occur from radiation.

Unlike other imaging modalities, such as CT and MRI, gastrointestinal ultrasound is inexpensive and can be used at the point of care to enable physicians to make immediate decisions about a diagnosis, treatment, or the need for further testing.

What are we looking for on the IUS and what are you able to see?

IUS allows visibility of the large intestine (colon) and the small intestine (the terminal ileum) where disease activity can be assessed using several markers such as bowel wall thickness, hyperemia (increased blood flow), and disruption of wall layers.

"With IUS, I'm able to see how thick the bowel wall is and if there is an increased blood flow to that area, which would indicate inflammation," explains Dr. Suppa. "I can also see if there is any disruption to the layers of the bowel wall or signs of complications such as strictures." This allows him to determine how well a patient is responding to a prescribed treatment without the lag time of lab results or the need to schedule other procedures or imaging.

 
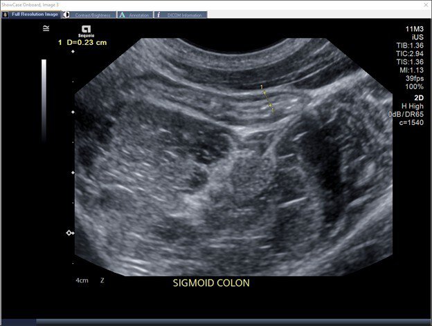
Normal appearing sigmoid colon with normal bowel wall thickness on IUS
 
Sigmoid colon with increased bowel wall thickness on IUS consistent with active colitis

What are the benefits of IUS to patients?

Intestinal Ultrasound is:

  • Painless, non-invasive, cost-effective, and more efficient than invasive modalities
  • The fastest way to determine treatment responsiveness and/or reaction to medications
  • An imaging map of GI System that provides real-time feedback with no side effects
  • A lifechanging option for people who need an annual colonoscopy
  • An educational tool that improves the patient's understanding of their condition/disease

Most importantly, patient satisfaction has gone up. Since patients are awake and aware during the examination, they get real-time insight into what's happening and immediate feedback from their doctor. They're actively engaged with the IUS, quality visuals, and their clinician so they're learning more about their conditions without any accompanying physical discomfort. It's a win-win.

Who is doing IUS and why is it underutilized?

IUS has been widely adopted in Europe and Canada at the point of care level where it is the standard, but it's been slow to adopt here in the United States. Primarily, that's because of a lack of training opportunities. It also takes time to reach proficiency in performance and appropriate assessment of the images. In U.S. medical training, there isn't as much training around ultrasound—let alone a GI Ultrasound—as there is abroad. Additionally, structured training for gastroenterologists has previously only been available outside the U.S.

"That's all changing—and it's changing fast." Dr. Suppa goes on to say, "It's only a matter of time before IUS for IBD monitoring becomes the standard in U.S. IBD centers."

Ben Kuhn, DO, Chief of the Pediatric Gastroenterology Division adds, "MUSC is among the earliest adopters in the country of this critically needed tool for the better management of inflammatory bowel disease. Over the past year, Dr. Suppa has devoted himself to gaining his formal IUS certification so that we can further expand the capabilities and services we offer to our patients in this region." 

Where is Intestinal Ultrasound training available?

The International Bowel Ultrasound Society (IBUS), based in Germany, has set up a 3-module training for IUS certification. It's lecture-based and requires 40 hours of hands-on ultrasound sessions with an expert over the course of four weeks. The training is then followed by a practical exam.

The IBUS curriculum

Per the IBUS website, the program is "designed to be completed consecutively within a maximum timeframe of two years." Additionally, outside the certification program, there are interactive webinars where anyone can learn more.

"Through IBUS, there's a pathway to learn how to bring this to your center," says Dr. Suppa. "IBD care continues to move towards precision monitoring and proactive decision making. It is our obligation as providers to continue to move the needle when it comes to incorporating advancing technology to improve patient experience, understanding, care, and ultimately, outcomes."

More About Pediatric Gastroenterology, Hepatology, and Nutrition at MUSC

For eight years in a row, MUSC Children's Health Pediatric Gastroenterology has ranked in US News & World Report's Best Children's Hospitals Top 50 in Pediatric GI and GI Surgery Programs (from 2016 to 2024). Learn more about how our board-certified team of specialists and other care providers work toward Changing What's Possible for children with digestive disease.

To see a complete list of pediatric gastrointestinal conditions we treat, visit the MUSC Children's Health GI & Nutrition website.

Why choose MUSC Children's Health?

MUSC Children's Health is an integrated health care delivery system that provides comprehensive care for children from before birth up to eighteen years of age. We believe children have special needs for everything from medicines and the size of their beds to special care that only specially trained pediatric professionals can provide.

Learn more about MUSC Children's Health.
 
We offer IUS through our pediatric IBD Clinic and Medical Center—a new model of care for patients with IBD established by the MUSC Division of Gastroenterology and Hepatology to address the specific needs of the IBD population. Additionally, MUSC Pediatric Gastroenterology offers other collaborative clinics for specific conditions, such as the pediatric Motility Clinic, pediatric Aerodigestive Clinic, pediatric Eosinophilic esophagitis (EoE) Clinic, and more.

Through our IBD Medical Center, patients can access advanced procedures and services, including liver transplants.

How do I make an appointment for a consultation?

Call 843-876-8282 or you can schedule an appointment through the patient's MyChart account.

Recent Advance with MUSC Health stories