Skip to main content

The science of risk: How a neuroscientist and professional climber learned from one another

March 18, 2019

Professional rock climber Alex Honnold and MUSC researcher Jane Joseph, Ph.D., are an odd pairing. But a chance meeting in 2016 led an athlete to gain a better understanding of what makes him tick and a professor to learn that some brains just defy science.

——————————————————————————————————————————————————————

Three years ago, Jane Joseph Ph.D., professor of Neuroscience at MUSC, had never heard of Alex Honnold.

That was before they spent a Saturday morning together. That was before she studied his brain. That was before they were in an Oscar-winning film together.

A rock and a hard place

When Alex Honnold was 19 years old, he remembers standing at the bottom of Corrugation Corner — a technical rock wall at Lover’s Leap near Lake Tahoe, California. He had decided this would be his first-ever free solo — a style of climbing where you ascend without a rope or protective equipment of any kind. Some people call free soloing the purest way to climb. Others call it suicide.

As he looked up at the 300 feet of granite above him, he thought to himself, “No way.”

The idea of Honnold being scared of anything is hard to imagine. That’s because, as fate would have it on that spring day in 2005, there was a way. Not only would he make it to the top of Corrugation Corner free of ropes and a harness, he would go on to achieve the feat of free soloing hundreds of more times on rock formations all across the globe. Mexico. Northern Ireland. Oman. Through the years, he’s been on the cover of National Geographic, featured on CBS’ “60 Minutes,” in TV commercials for BMW and Squarespace. He’s even been on “Jimmy Kimmel Live!” And though he’ll tell you he feels fear just like the rest of us — “I see big-wave surfers and think, ‘No freaking way I could do that’” — it’s hard to think of him as anything other than the poster child for fearlessness.

 
Alex Honnold appeared to be twice as sensation-seeking as the average person in an MUSC brain scan. He also scored fairly high on a conscientiousness scale.

Today Honnold is, without question, the best free-solo climber in the world. His most recent accomplishment of free soloing the Freerider route on El Capitan is widely considered the greatest rock-climbing achievement in history. The 3,200 vertical feet of sheer granite in Yosemite National Park, California, typically takes seasoned climbers four to five days to complete. That’s with ropes. Honnold did it in less than four hours without them. Honnold’s journey, as well as the feat of climbing El Capitan, was captured by documentary filmmakers Elizabeth Chai Vasarhelyi and Jimmy Chin. It was simply titled, “Free Solo.”

Forget Honnold’s mind-bending physical abilities. What makes him so interesting — so deeply compelling — is his apparent lack of fear. Case in point: A science writer who was covering him for a story during the filming of “Free Solo” approached Honnold and asked if he’d be willing to take a look at his brain on a scientific level, so they could see what made him different.

“I guess I was a little afraid they’d find something that was wrong,” Honnold admitted.

But he relented, and in March of 2016, Honnold flew across the country and walked into Joseph’s lab at MUSC. Their interaction would prove enlightening to both.

The science of risk

Inside the Center for Biomedical Imaging on Bee Street in downtown Charleston, Joseph and her team use fMRI – functional magnetic resonance imaging – to measure brain activity by detecting changes associated with blood flow. According to Joseph, deoxygenated hemoglobin has magnetic-like properties. It’s this oxygen uptake by the brain during neural activity that is detected by the fMRI scanner. As a result, when a portion of the brain is working, it shows up as more colorful on the display. Years prior, Joseph had published a study on neural reactivity and how it relates to sensation seeking – more specifically, in the areas of drug abuse and other risky behaviors. That concept is what brought Honnold to Joseph and MUSC.

Vasarhelyi and Chin’s crew captured that entire Saturday morning on film, spending more than four hours with Honnold, Joseph and her team. That interaction would not only end up making the film but providing the audience with critical insight into why Honnold behaves the way he does.

 
Former research analyst Davy Vanderweyen, Alex Honnold, MUSC researcher Jane Joseph and science writer James MacKinnon meet in Charleston. Photo provided

“I had no idea if I’d be in the film,” Joseph said. “I honestly didn’t fully know what it was all about. I just knew we had the unique opportunity to look at the brain of somebody special. I think what most appealed to me about Alex was he’s doing all these risky things, and he has some degree of impulsivity, just like you’d see in people who try drugs and might become addicted. The difference being he doesn’t use drugs.”

When the documentary came out and Joseph saw it, she was blown away. Not just by what a good job the filmmakers had done but by all the things Honnold was doing on the mountain. Quickly, her amazement was reflected in the general public. “Free Solo” was instantly the darling of the independent movie festival circuit, and in turn, the Academy of Motion Picture Arts and Sciences took notice.

During the 2019 Academy Awards held on Feb. 24, “Free Solo” won the Oscar for “Best Documentary Feature.”

Since that Saturday three years ago, Joseph has kept in touch with Honnold by phone and email and even attended a screening party with him and the crew last year.

“Never in my wildest dreams did I think I’d end up in a movie. Much less one that won the Academy Award,” Joseph laughed.

Rattlesnakes and Christmas trees

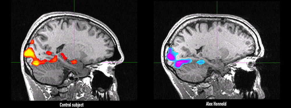
Deep inside the brain’s medial temporal lobe lies the amygdala. It’s an almond-shaped set of neurons that for decades has been considered the “fear detector” in the brain. By showing subjects a series of images — ranging from everyday objects like furniture and landscapes to extremely rare or exciting scenes like mutilated bodies or erotic nudity — Joseph and her staff are able to get a good sense of just how risk-averse they might be, based on how much activity is observed in the amygdala.

According to Joseph, after about 45 minutes in the MRI tube, Honnold emerged saying: “What? Was that supposed to do something for me?”

“For most people,” she said, “they don’t come out traumatized, but they do come out and say it wasn’t pleasant. Alex just didn’t seem affected.”

After the brain scan, Honnold completed a series of questionnaires used by psychologists to measure the degree of a person’s tendency toward risky behavior. Questions included: Do you enjoy skiing very fast down a mountain? Would you enjoy parachute jumping? Do you like to explore a strange city or place, even if you might get lost?

Alex Honnold's brain scan versus a control brain scan
FMRI imaging shows amygdala activity in a control subject, left, and Honnold, right, when looking at images expected to elicit emotional responses from the viewer. Images courtesy of Dr. Jane Joseph

Compared against the data pool Joseph already had — she had even recruited a rock climber roughly Honnold’s age to come in and go through everything he did — Honnold turned out to be twice as sensation-seeking as the average person and 20 percent higher than the average high-sensation seeker.

“My take on it is there are probably some stimuli that would activate his amygdala, but if you just compare him to the norm or baseline, he does not show anything,” she said. “That said, Alex scored pretty high on the trait of conscientiousness, which has shown to protect against becoming addicted and getting into that spiral.”

Honnold laughed when he remembered that day: “I’m pretty sure that if I had done that brain scan with a rattlesnake inside the tube, my amygdala would have been lighting up like a Christmas tree.”

A method to the madness

One of Honnold’s hallmarks is that he doesn’t do any free solos until he has practiced the route – with all the safety gear – dozens, sometimes hundreds, of times. He takes meticulous notes and rehearses moves over and over. It took him almost seven years of preparation before he felt ready to free solo El Capitan. He thinks his lack of fear comes from an obsessive preparation.

“To be honest, I think a lot about falling ahead of time. But once I decide I’m ready, I’m 100 percent committed to it,” he said. “Look, it’s not that I’m not afraid. If I was in danger, I’m sure I’d respond the same as anybody. Pain, death, all the things you’d expect. They scare me too, you know?”

Joseph said that even though Honnold shows classic similarities with other thrill-seekers, she acknowledges that there is something different about him.

“If you think about what he does, he plans every detail out,” she said. “So as opposed to the Mountain Dew adrenaline-junkie type, he really isn’t that. And that kind of surprised me.”

The guy who was once terrified of speaking in public, doesn’t see himself as an adrenaline junkie either. “If we’re on a 1 to 10 emotional spectrum, I pretty much live between 4.8 and 5.9. It’s a very narrow window in there. I mean, some people might call that depressed because I’m never a 10, or you could say I’m extremely stable because I’m never depressed. I just say I’m even keeled.” Still, when he summitted the inimitable El Capitan sans ropes and harness, he hit a full-on 7. “I guess my 7 is everybody else’s 10,” he said with a laugh.

At 33 years old, Honnold knows there will come a time when his athletic prime is behind him. For now, he’s in the best shape of his life and buoyed by the fact that the majority of his biggest career accomplishments have come in the last decade.

“Right now, I see no reason to think I’m going to back off what I’m doing any time soon,” he said. “Free climbing is what gives me the most pleasure in life. And I’m going to keep doing it until it stops.”

Meet the Author

Bryce Donovan

Recent Patient Journeys stories